ひどい虫歯/歯周病で
「歯がボロボロ」になった方へ
- 歯医者にトラウマがある…
- ボロボロの状態を
診られるのが嫌… - 治療時の痛みが我慢できない…
- 無駄な治療をされそうで怖い…
このような方でも
諦める必要はありません
※セカンドオピニオン対応※
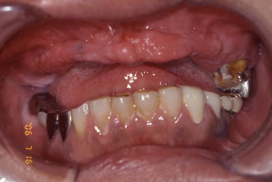
ボロボロの歯を包括治療で改善させたケース。
ボロボロの歯を包括治療で改善させたケース。
ボロボロの歯を包括治療で改善させたケース。
ボロボロの歯を包括治療で改善させたケース。
このような方でも
諦める必要はありません
※セカンドオピニオン対応※


ボロボロの歯を包括治療で改善させたケース。


ボロボロの歯を包括治療で改善させたケース。


ボロボロの歯を包括治療で改善させたケース。


ボロボロの歯を包括治療で改善させたケース。

歯がボロボロになってしまう理由はさまざまです。虫歯や歯周病の進行はもちろん、多くの患者さんに共通するのが、歯医者に対する「トラウマ」を持っていることです。
過去の経験によって歯医者から足が遠のいてしまい、それが理由で歯がボロボロになってしまった。これは、決して患者さんのせいではありません。

例えば、次のような経験はありませんか?
これらは歯科医院側の努力や取り組みで「改善」できることばかりです。当院では、患者さん目線を大切にした取り組みを行っています。具体的には下記の通りです。
それぞれ詳しくご説明いたします。

治療を受ける際、可能な限り「痛み」や「不快感」を回避したいと思うのは当然のことです。
当院では、「睡眠無痛治療」をはじめとする、痛みや不快感を最小限に抑える取り組みを行っています。それぞれご紹介します。

歯科治療が「怖い」、治療時の「痛み」を軽減したい、そのような方には「睡眠無痛治療」をご提案しています。これは、静脈鎮静法とも呼ばれ、点滴で鎮静薬を注入する治療法です。半分眠ったような状態で治療を受けられるため、治療中の記憶はほぼありません。

もちろん、痛みや音、振動を感じることもないので、患者さんとしては、「寝て起きたら治療が終わっている」感覚です。
実際にこの治療法を受けられた患者さんからは「痛みを感じず快適だった」「気が付いたら治療が終わっていた」「もっと早く試せばよかった」など好評をいただいています。
下記に当てはまる方は、一度検討してみてはいかがでしょうか。
また、当院では「笑気ガス」も活用しています。
これは鼻から吸引することで、「ふんわり」した気持ちになり、緊張感や恐怖心が緩和されます。

「睡眠無痛治療」や「笑気ガス」は治療を始める前の処置ですが、治療時の痛みを抑える取り組みも行っています。詳しくご紹介します。

麻酔をされる時の痛みが苦手な方は多いと思います。そこで活躍するのが「表面麻酔」です。あらかじめ歯肉に塗布することで、注射時の痛みを軽減します。

針は細ければ細いほど痛みを感じにくいため、当院では極細の針を使用しています。

お口の中には痛みを感じやすい部位とそうでない部位があるため、当院では痛みを感じにくい部位に注射をします。

5倍速コントラは歯を削る道具の一つです。特徴としては、通常の5倍速で回転するため、一般のコントラよりも音が「静か」で「振動」も抑えられます。

治療精度を高めるためには、歯科医師の技術はもちろん、治療内容に対して患者さんの理解や納得を得ていなければ実現できません。しかし、世の中には患者さんの要望や気持ちを置き去りにして治療を進めてしまう歯科医院もあるようです。

なぜ、そのようなことをしているのか詳細な理由はわかりませんが、これは絶対にあってはなりません。
当院では、初診時のカウンセリングに「1時間」お時間をいただき、患者さんと密にコミュニケーションを取ります。そのうえで、患者さんが納得できるまで治療方針についてお話し、「治療計画」を作成します。
なぜ、この治療が必要なのか、どのくらいの期間で治療が終わるのか、費用についても明確にしてお伝えします。
些細な疑問でも構いません。ご質問があれば遠慮なくお聞きください。

治療期間が長期化するのは、歯医者への苦手意識が強い方にとっては大きなストレスになると思います。そうした方でも負担を感じずに治療を受けていただけるよう「短期集中治療」を行っています。詳しくご紹介します。

まず、治療を始めるにあたって詳細な「治療計画」を作成します。そうすることで、まとめて治療可能な工程が判明し、数回分の治療を1回にまとめることで、治療期間を短縮します。

どれだけ歯科医師としての技術があったとしても、人の力には限界があります。そこで活躍してくれるのがマイクロスコープ等の精密機器です。当院では、精密機器を活用することで、スピーディーかつ治療精度の向上に努めています。



人工歯(被せ物や入れ歯など)を希望されている患者さんにとって、できるだけ早く仕上げて欲しいと思われるのは当然のことだと思います。人工歯を製作するのは歯科医師ではなく、歯科技工士のため、当院では可能な限りスピーディーに制作できるよう、歯科技工士と密な連携を取り、治療期間の短縮に努めています。

「自分の歯の状態を周囲に知られたらどうしよう…」
「隣の席の人が気になって本心を話せなかった…」
そんな不安や心配を解消するために当院では個室の診療室をご用意しています。また、個室のカウンセリングルームも完備しているため、周囲を気にせずご自身の現状をお話いただけます。
当院では、他院で納得できる治療成果が得られなかった患者さんも多く来院されるため、これまでの辛い経験等もどうぞ遠慮なくお話ください。

| 1990年 | 北海道大学歯学部卒業 |
|---|---|
| 1996年 | USCインプラントコースに参加 |
| 2005年 | スウェーデンイエデボリ大学研修 |
| 2006年 | スウェーデンハルムスタッド病院研修 |
| 2009年 | アメリカペンシルベニア大学研修 |
| 2012年 | アメリカノースカロライナ大学研修 |
| 2013年 | ベルギーゲント大学研修 ベルギールーベン大学研修 |
| 2014年 | アメリカAAED学会参加 |






当院の院長は、さまざまな症例に対応できるよう、国内外で学び続けてきました。
これまでの学びそして技術が評価され、同業者から患者さんを紹介されることも多く、また、道外からの患者さんもいらっしゃいます。その理由は「入れ歯」や「インプラント」をはじめとする、専門性の高い治療を幅広く学んできたからです。
適切な治療をすれば、あなたの歯も綺麗に蘇る可能性が高まります。例え今、歯がボロボロだったとしても、諦めないでください。そして、ぜひ、当院にご相談ください。

例えば、ボロボロの歯をそのままにしておくと、かみ合わせが悪くなります。そうすると、頭痛や肩こり、さらには腰痛など身体のあちこちに不調が起こる可能性があります。また、歯がボロボロになるということは、お口の中で悪さをする菌が多く存在するということです。代表的なものですと、虫歯菌や歯周病菌が挙げられますが、それらは下記の疾患と深い関係があるとされています。
さらに、身体だけではなくなく、ボロボロの歯は患者さんの心理面にも少なからず影響があると言われています。
「人前で話すのをためらう」「お食事を楽しめない」「歯を見せて笑えない」など、これらの症状は抑うつ状態につながるリスクがあります。
しかし、歯を綺麗にすれば、身体だけではなく心の健康も得られる可能性が高くなります。
もしも悩んでいらっしゃる方がいれば、ぜひ一度当院にお越しください。
当院は「セカンドオピニオン」にも対応しているので、他院で治療を受けている/いた方や、治療を断れた方も遠慮なくお問い合わせください。
無理に治療を進めることはありません。まずはあなたのお話を聞かせいただければと思います。
当院では、患者さんが抱えていらっしゃるお口のお悩みや疑問・不安などにお応えする機会を設けております。どんなことでも構いませんので、私たちにお話ししていただけたらと思います。
ご興味がある方は下記からお問い合わせください。
